دکتر مهدیه قهرمانی متخصص ارتودنسی در شیراز
دکتر مهدیه قهرمانی، به عنوان یکی از بهترین دندانپزشکان و متخصصین ارتودنسی در شیراز شناخته میشود. با توجه به تجربه و مهارت بالایی که دکتر قهرمانی در حوزه ارتودنسی دارد، بسیاری از بیماران از خدمات وی بهرهمند میشوند. در سامانه زیبایی زیباسل، مراجعین میتوانند اطلاعات کامل و جامع درباره خدمات ارتودنسی و دندانپزشکی دکتر قهرمانی بهدست آورند.
خدمات اقساطی ارتودنسی در شیراز، به ویژه توسط دکتر مهدیه قهرمانی، فرصتی مناسب برای افرادی است که به دنبال بهبود زیبایی و سلامت دهان و دندان خود هستند، اما نگران هزینههای بالای درمان میباشند. دکتر قهرمانی با ارائه این خدمات به صورت اقساطی، امکان دسترسی به درمانهای پیشرفته ارتودنسی را برای بیماران خود فراهم میکند. این شرایط اقساطی به بیماران این امکان را میدهد که بدون فشار مالی زیاد، به تدریج هزینههای درمان خود را پرداخت کنند و از خدمات حرفهای و تخصصی بهرهمند شوند. در مطب دکتر قهرمانی، استفاده از تکنولوژیهای مدرن و روشهای نوین درمانی، نتایج فوقالعادهای را برای بیماران به همراه دارد. همچنین، توجه ویژهای به راحتی و رضایت بیماران در طول دوره درمان وجود دارد. اگر در شیراز زندگی میکنید و به دنبال راهحلی مناسب و مقرون به صرفه برای ارتودنسی هستید، خدمات اقساطی دکتر مهدیه قهرمانی میتواند گزینهای عالی برای شما باشد.
خدمات ارائه شده توسط دکتر مهدیه قهرمانی
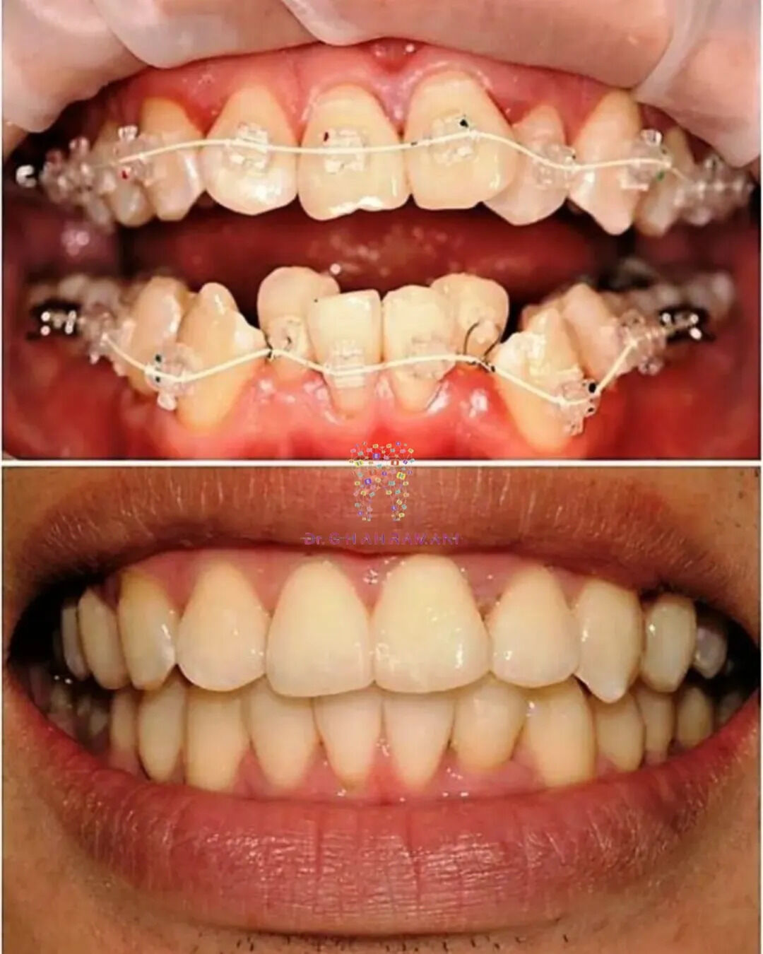
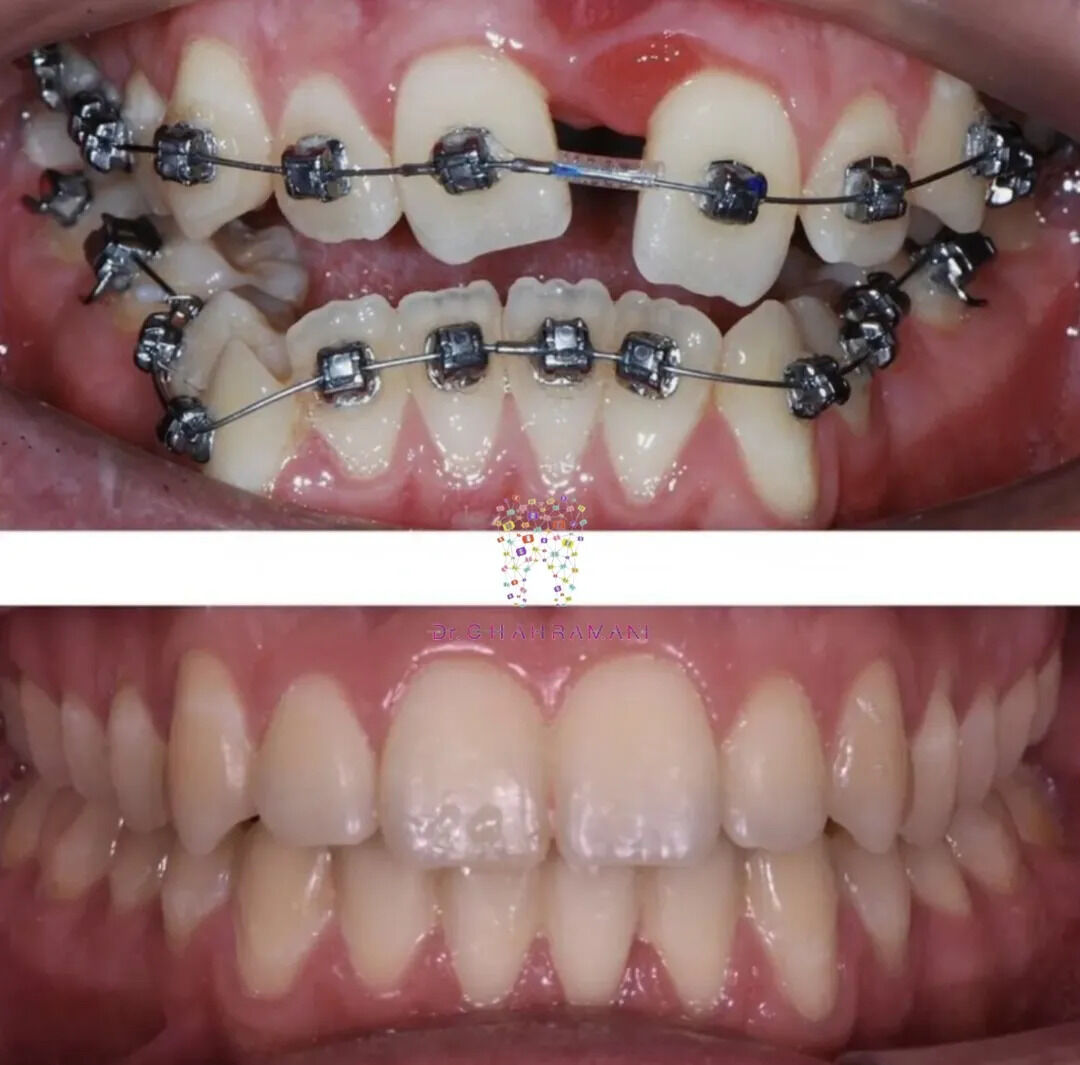
دکتر مهدیه قهرمانی به عنوان یک ارتودنتیست مجرب در شیراز، مجموعهای از خدمات تخصصی را به بیماران ارائه میدهد. خدمات شامل ارتودنسی ثابت و متحرک، ارتودنسی نامرئی، و اصلاح بدفرمیهای دندانی است. وی با استفاده از تکنیکهای پیشرفته و نوین درمانی، تجربهای بینظیر را برای بیماران فراهم میآورد، بهگونهای که با استفاده از تخصص خود، بهترین نتیجه را برای هر مورد به ارمغان میآورد.
دلایل انتخاب دکتر قهرمانی به عنوان بهترین ارتودنتیست در شیراز
انتخاب دکتر قهرمانی به عنوان بهترین ارتودنتیست در شیراز به دلایل متعددی صورت میگیرد. اولین و مهمترین دلیل، تجربه و تخصص بالای وی در زمینه ارتودنسی است. در کنار این، تعهد وی به استفاده از جدیدترین روشها و تجهیزات پزشکی برای ارائه بهترین خدمات ممکن به بیماران نیز از جمله دلایل محبوبیت اوست. خدمات مشاوره ارتودنسی آنلاین دکتر قهرمانی نیز به بیماران کمک میکند تا بدون نیاز به حضور در مطب، سوالات خود را مطرح کنند و راهنماییهای لازم را دریافت نمایند.
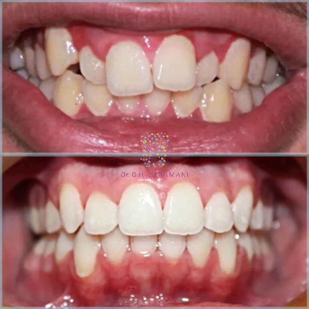
اهمیت ارتودنسی و دندانپزشکی زیبایی
ارتودنسی و دندانپزشکی زیبایی نقش مهمی در افزایش اعتماد به نفس افراد ایفا میکنند. تصحیح ناهنجاریهای دندانی و مرتب کردن دندانها نه تنها به بهبود زیبایی لبخند کمک میکند، بلکه میتواند عملکرد دندانها را نیز بهبود بخشیده و از بروز مشکلات بیشتری در آینده جلوگیری کند. با بهرهگیری از تخصص دکتر مهدیه قهرمانی در درمان ارتودنسی، بیماران میتوانند لبخندی زیباتر و دندانهایی سالمتر داشته باشند.
کلینیک دندانپزشکی دکتر مهدیه قهرمانی
کلینیک دندانپزشکی دکتر مهدیه قهرمانی در شیراز به عنوان یکی از مطرحترین مراکز درمانی در این شهر شناخته میشود. این کلینیک با برخورداری از تجهیزات پیشرفته و تیمی از متخصصین دندانپزشکی، انواع خدمات درمانی را به مراجعین ارائه میدهد. از تشخیص اولیه و برنامهریزی درمان تا پیگیریهای پس از درمان، تمامی مراحل به صورت کاملاً حرفهای و سازماندهی شده انجام میشود تا رضایت کامل بیماران حاصل گردد.
تخصص و تجربه دکتر مهدیه قهرمانی
افزون بر تخصص و تجربه، دکتر قهرمانی با بهرهگیری از تکنیکهای مدرن در درمان ارتودنسی، به ارائه خدماتی بینظیر و با کیفیت میپردازد. وی همواره در تلاش است تا با شرکت در دورهها و کنفرانسهای علمی، دانش و مهارتهای خود را بهروز نگه دارد و برای بیماران خود بهترین خدمات ممکن را فراهم آورد. این تعهد به یادگیری مداوم و ارائه بهترین خدمات، از دکتر قهرمانی یک پزشک زیبایی و ارتودنتیست برجسته در شیراز ساخته است.
مشاوره آنلاین و خدمات برتر
یکی از ویژگیهای بارز خدمات دکتر مهدیه قهرمانی، ارائه مشاوره ارتودنسی آنلاین است. از طریق این سرویس، بیماران میتوانند بدون نیاز به مراجعه حضوری، از وضعیت دهان و دندان خود آگاه شوند و راهنماییهای لازم را دریافت نمایند. این امر به ویژه برای افرادی که در سفر یا مکانهای دورافتاده زندگی میکنند بسیار مفید است و امکان دسترسی به تخصصیترین خدمات را بدون محدودیتهای مکانی فراهم میکند.
در پایان، با مشاوره و درمانهای حرفهای دکتر مهدیه قهرمانی و استفاده از امکانات سامانه زیبایی زیباسل، مراجعین میتوانند از سلامت و زیبایی دندانهای خود اطمینان بیشتری داشته باشند. برای کسب اطلاعات بیشتر و مشاوره رایگان میتوانید با کلینیک دکتر قهرمانی تماس حاصل فرمایید یا از طریق سامانه زیباسل اقدام نمایید.
خدمات:
کلینیک دندانپزشکی دکتر مهدیه قهرمانی با ارائهی مجموعهای کامل از خدمات تخصصی، یکی از مراکز معتبر در زمینه درمان و زیبایی دندانها محسوب میشود. در این کلینیک، انواع خدمات شامل ارتودنسی با سیستمهای سرامیکی و دیمون، استفاده از پلاکهای فانکشنال و فضا نگهدارنده برای کودکان، کشیدن دندانها، روکشهای دندانی، عصبکشیهای تخصصی، جراحی لثه و دندان عقل، و همچنین خدمات زیبایی مانند کامپوزیت، بلیچینگ، لمینیت و ترمیمهای پیشرفته ارائه میگردد.
یکی از مزیتهای مهم این مرکز، امکان پرداخت اقساط ارتودنسی است. برای ارتودنسی دو فک، بیماران تنها با پرداخت یکپنجم مبلغ بهعنوان پیشپرداخت میتوانند باقی هزینه را طی ۱۰ ماه بهصورت اقساطی پرداخت کنند. همچنین برای ارتودنسی یک فک، شرایط پرداخت بهگونهای طراحی شده که پس از یکپنجم پیشپرداخت، مابقی هزینه طی ۷ ماه تسویه میشود. این شرایط ویژه باعث شده تا افراد بیشتری بتوانند بدون نگرانی مالی، از خدمات ارتودنسی بهرهمند شوند.
کلینیک دکتر قهرمانی با بهرهگیری از تجهیزات مدرن و تیمی مجرب، تجربهای مطمئن و رضایتبخش برای بیماران فراهم میآورد. اگر به دنبال زیبایی لبخند، سلامت دهان و دندان، و شرایط پرداخت آسان هستید، این کلینیک انتخابی هوشمندانه خواهد بود.









